Последние публикации Ветеринарный морфологический атлас

@vetmorphology
Последние публикации
Дата публикации: 25 Nov, 06:49

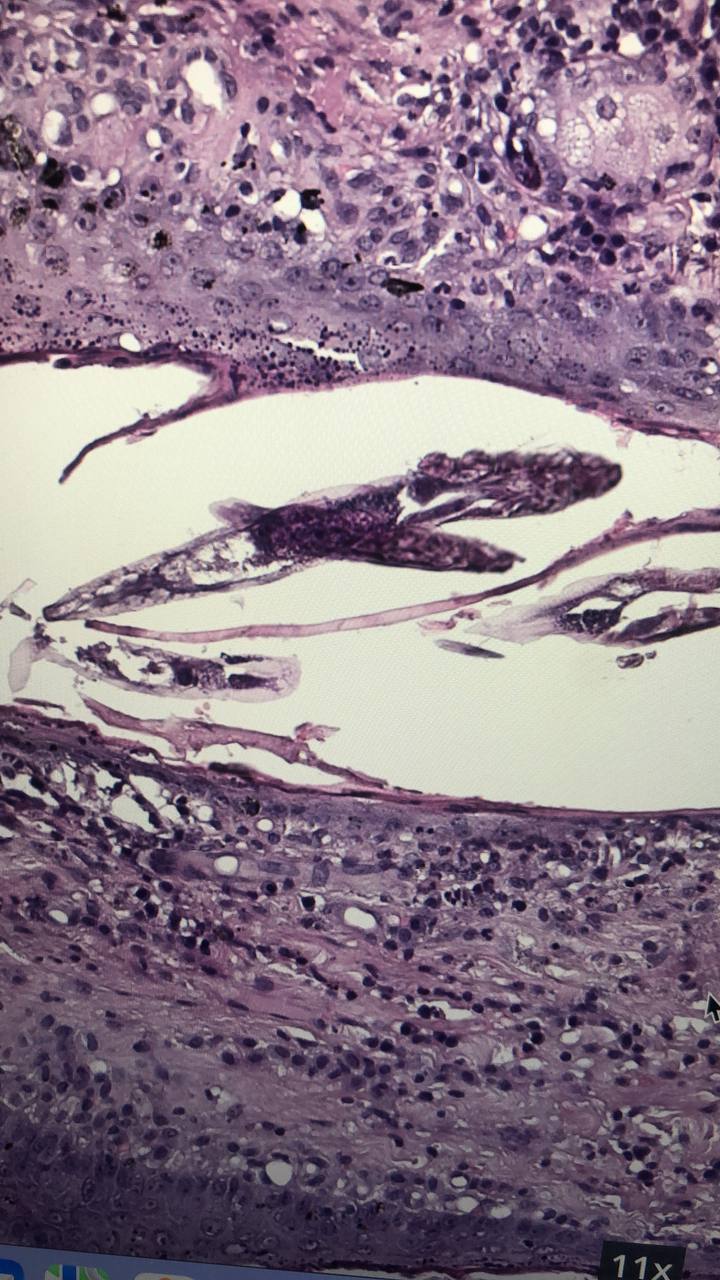
Редкая нынче находка, особенно в гистологических препаратах. Клещи рода Demodex
👁 368 🔁 1 Дата публикации: 29 Sep, 07:42

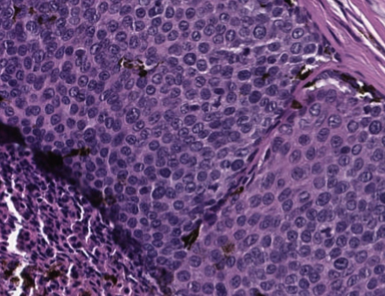
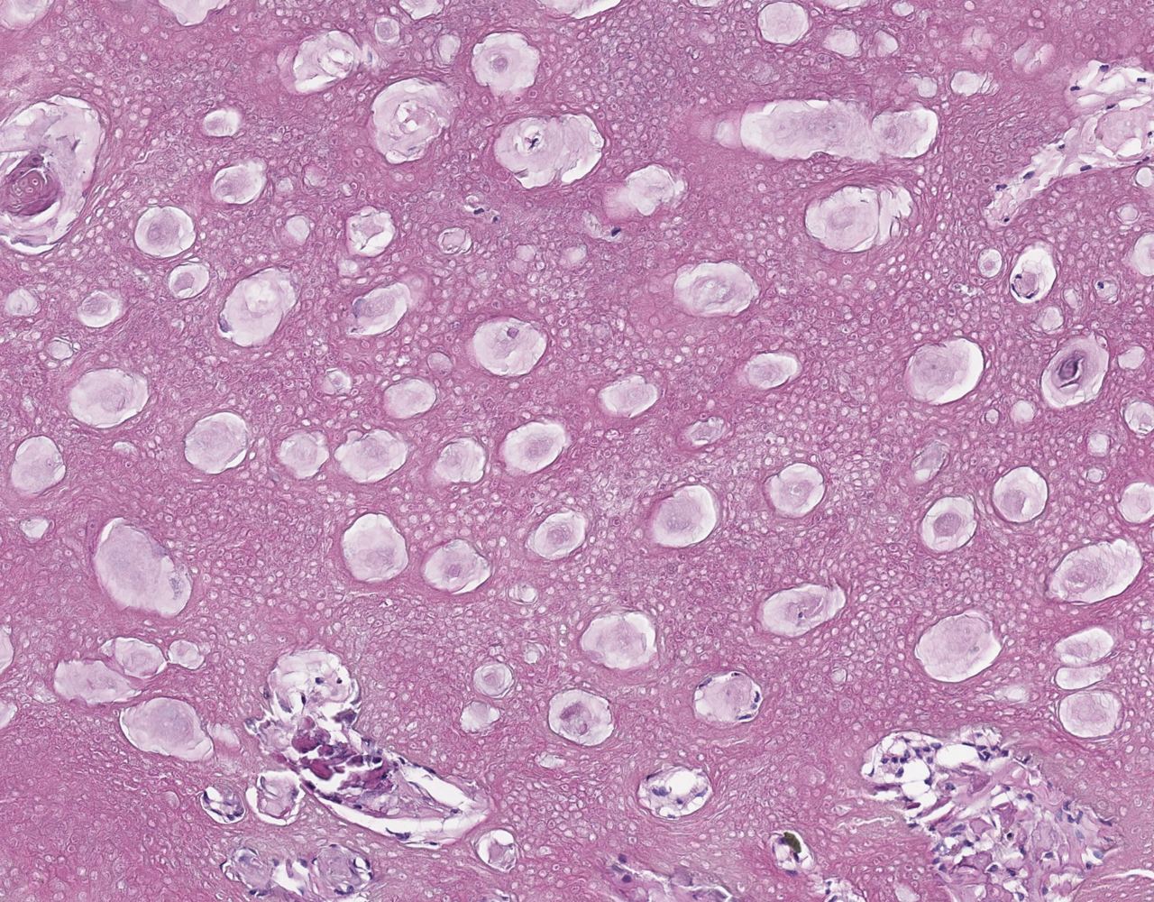
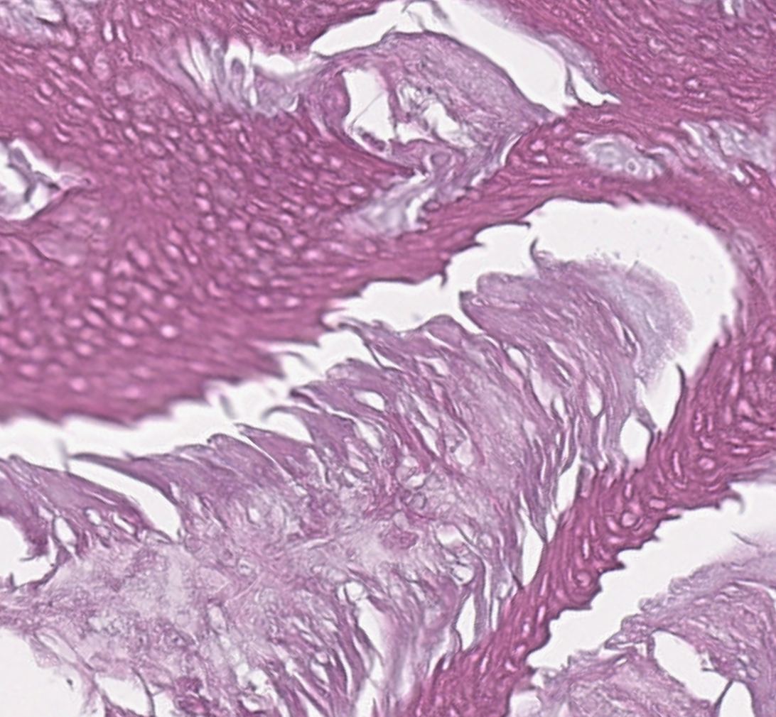
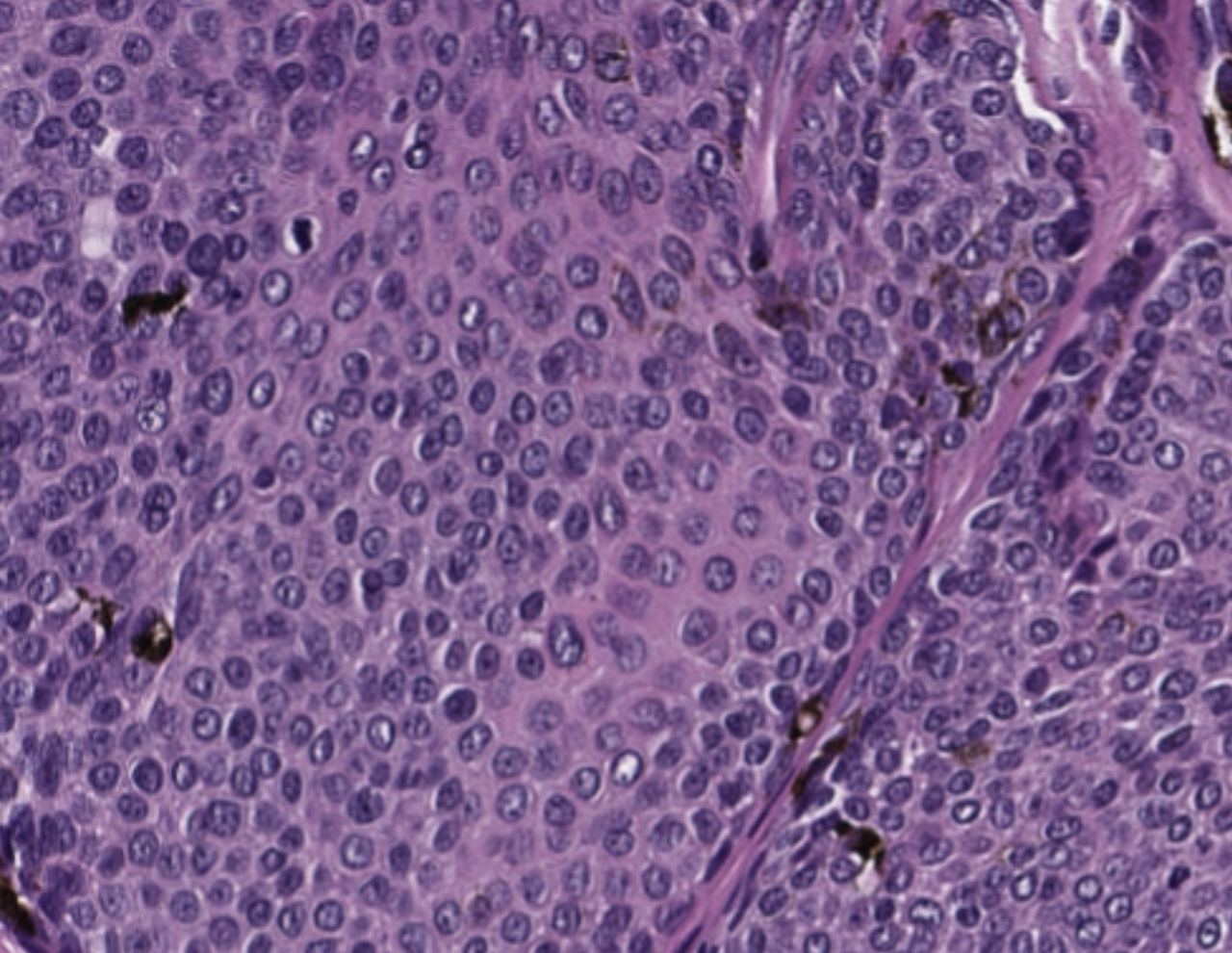
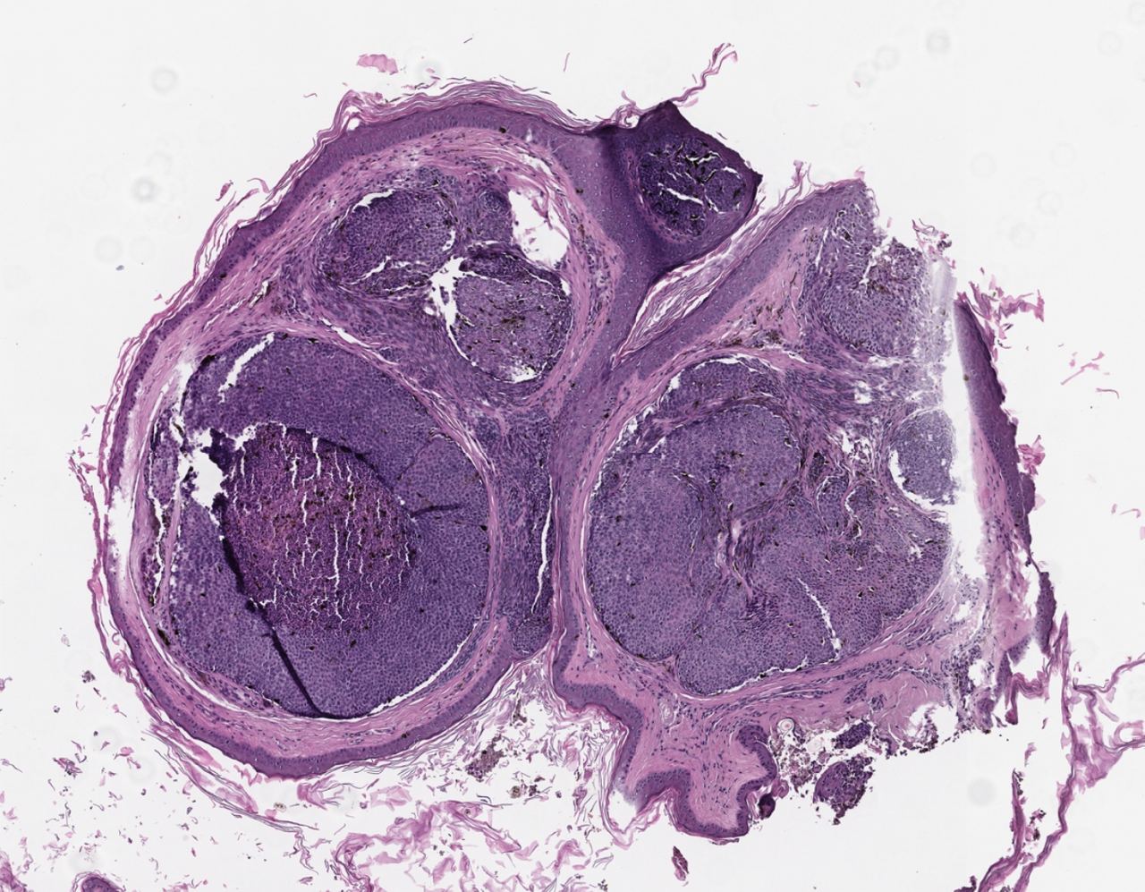
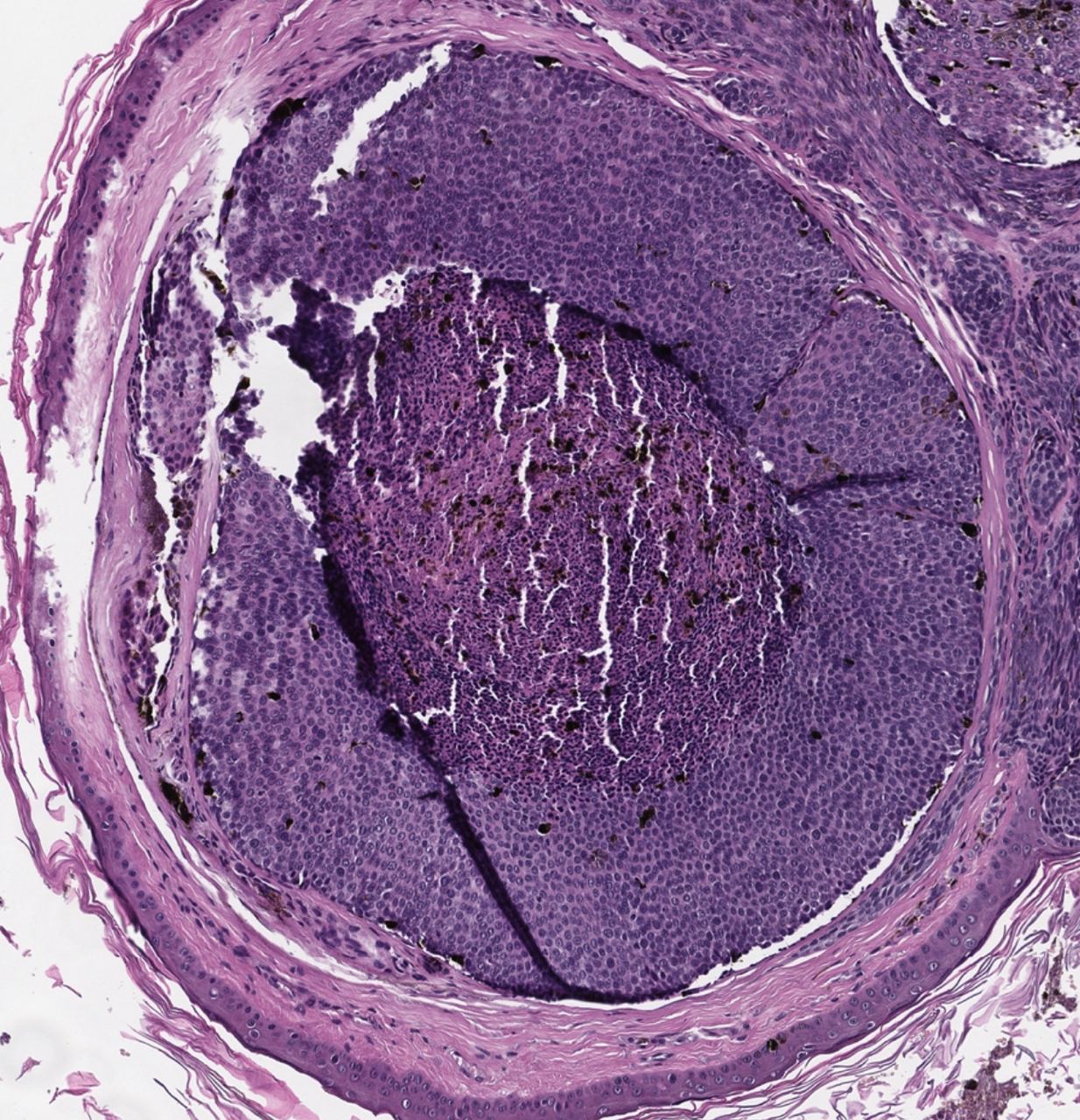
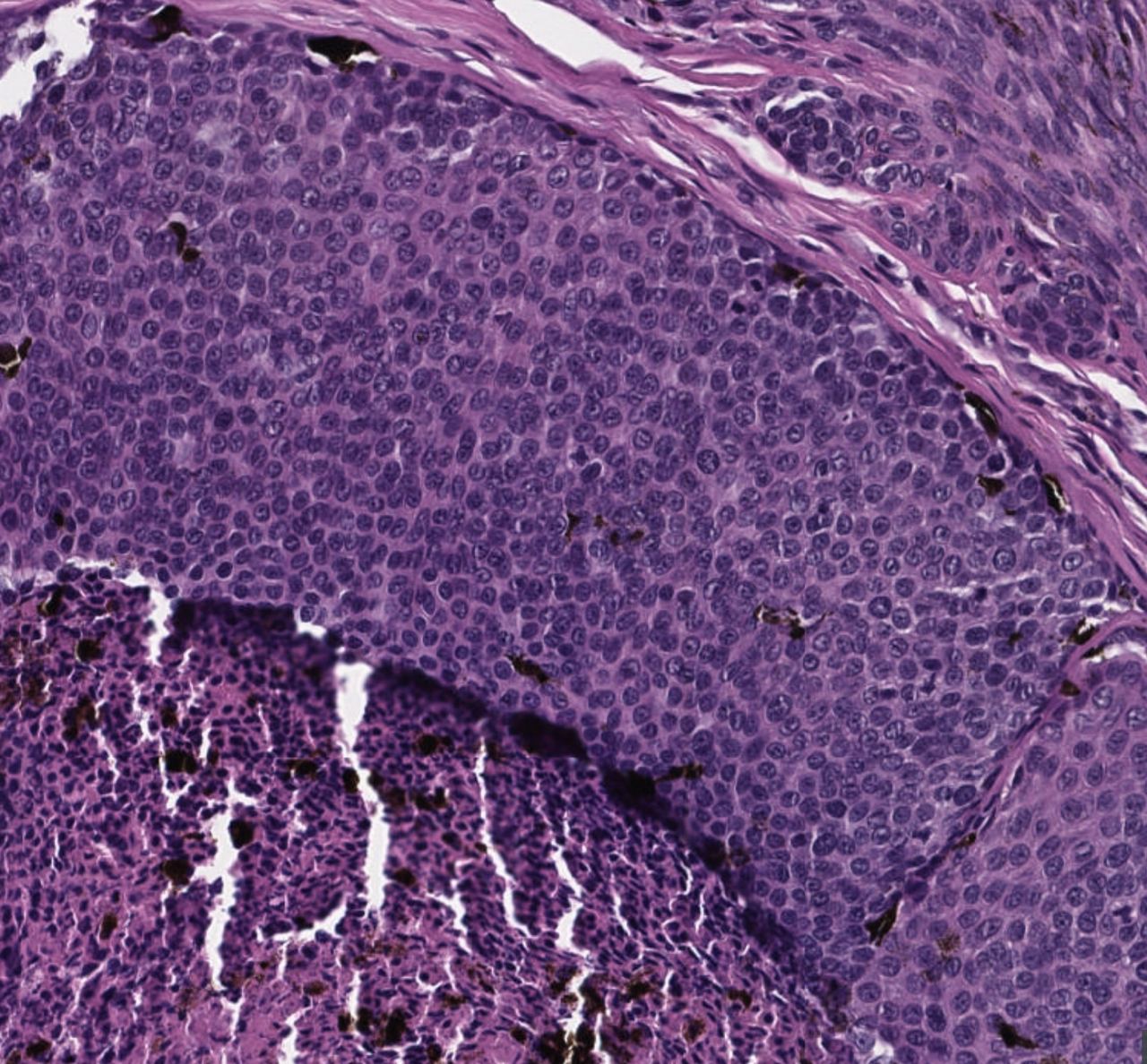
Базально - клеточная опухоль
👁 268 👍 3 🔁 1







