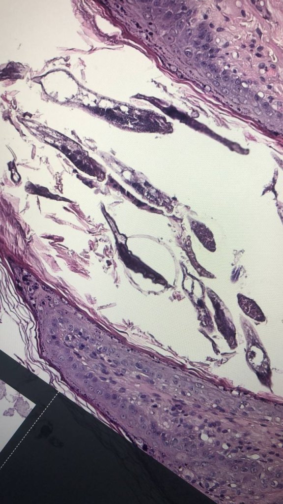
Редкая нынче находка, особенно в гистологических препаратах....

Редкая нынче находка, особенно в гистологических препаратах. Клещи рода Demodex
305
1
0
0
Похожие каналы





