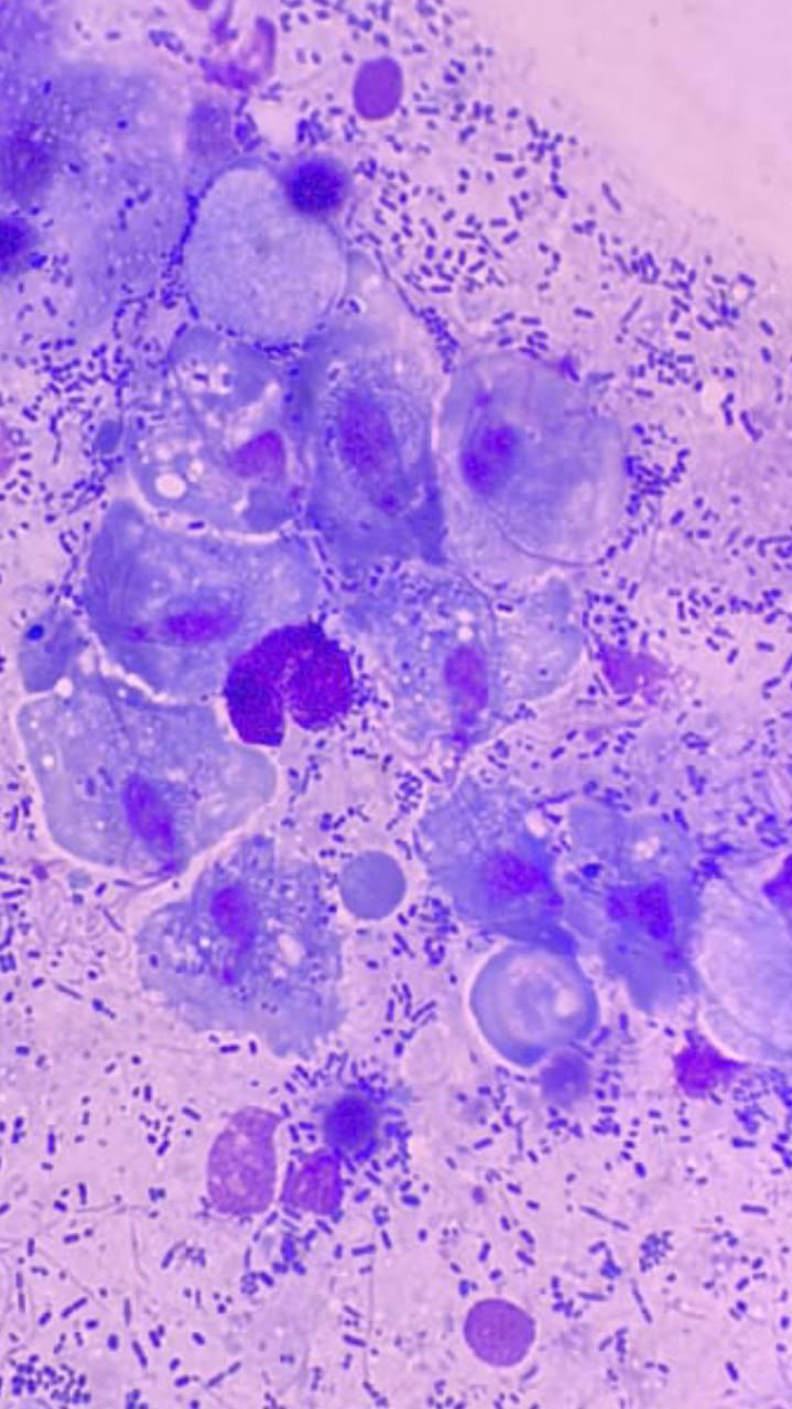
Специфический трихомонадный кольпит. Цитологический препарат...
Специфический трихомонадный кольпит. Цитологический препарат с шейки матки.
Световая микроскопия.
Увеличение х 200, х1000.
203
2
2
8
Похожие каналы
